Blood tests reveal early signs of cardiovascular disease risk in obese African-American teens – News on Heart.org

By AMERICAN HEART ASSOCIATION NEWS Long before they have symptoms, blood tests in obese African-American teens, especially girls, reveal immune system changes linked to greater cardiovascular disease risk, according to a study presented at the American Heart Association’s Council on Hypertension 2015 Scientific Sessions. “Obesity in the formative years is …

Source: Blood tests reveal early signs of cardiovascular disease risk in obese African-American teens – News on Heart.org

Study: High-normal BP in young adults spells heart failure risk in later life

Mild elevations in blood pressure considered to be in the upper range of normal during young adulthood can lead to subclinical heart damage by middle age — a condition that sets the stage for full-blown heart failure, according to findings of a federally funded study led by scientists at Johns Hopkins.

Source: Study: High-normal BP in young adults spells heart failure risk in later life

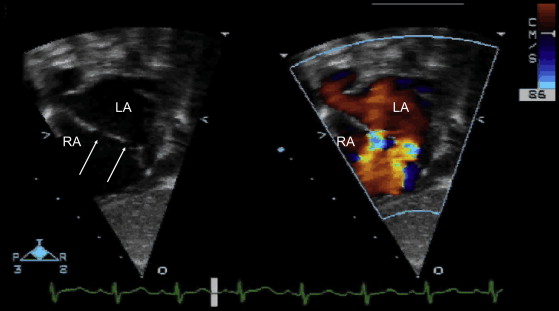
Predischarge Transthoracic Echocardiography after Surgery for Congenital Heart Disease: A Routine with a Reason?

Source: Predischarge Transthoracic Echocardiography after Surgery for Congenital Heart Disease: A Routine with a Reason? – Journal of the American Society of Echocardiography